当院では以下の健診・ワクチン
を実施しております

完全予約制 お電話(03-5534-9141)にてご予約ください。

【健診】

  • 令和7年度江東区「健康診査」
    (期間:~令和8年2月20日まで)
    ※眼底検査・胸部X線検査は「他院」実施となります。
  • (特定感染症検査事業) 肝炎ウイルス検査
    (期間:~令和8年3月31日まで)
  • 特定健診(集合契約B)・特定保健指導
    (期間:~令和8年3月31日まで)
    ※眼底検査が必要な場合、「他院」実施となります。
  • 令和7年度 もの忘れ予防健診
    (期間:~令和8年3月13日まで)

【ワクチン】

  • 令和7年度高齢者インフルエンザ・こどもインフルエンザ
    (期間:令和7年10月1日〜令和8年1月31日まで)
  • 令和7年度新型コロナウイルス
    (期間:令和7年10月1日〜令和8年3月31日まで)
  • 帯状疱疹予防接種(任意接種・定期接種)
    (期間:~令和8年3月31日まで)
  • 高齢者用肺炎球菌予防接種(定期接種)
    (期間:~令和8年3月31日まで)
  • 肺炎球菌
  • 帯状疱疹

お知らせ Information

2025.08.04 10月_代診・休診のお知らせ

・10月2日(木)
菅野院長は学会出張のため、【午後】より阪本 浩一朗 先生1名体制
・10月3日(金)
学会出張のため1日【休診】
・10月4日(土)
菅野院長は学会出張のため、【終日】阪本 浩一朗 先生1名体制
・10月11日(土)
菅野院長は学会出張のため、【終日】阪本 浩一朗 先生1名体制
・10月29日(水)
中島医師は学会出張のため、【終日】菅野院長1名体制

ご不便をおかけいたしますが何卒宜しくお願いいたします

2024.06.03 オンライン診療に関して

2024年6月より、毎月 最終週の水曜日(午後)にオンライン診療を開始いたします
【完全予約制】となります
ご希望の患者様がいらっしゃいましたら、クリニックまでお電話でお問い合わせください

2023.07.01 指定自立支援医療機関に関して

7月1日(土)付で当クリニックは指定自立支援医療機関となりました。
各自で市区町村へのクリニックの登録変更等の手続きをお願いいたします。

【スガノ脳神経外科クリニック】
東京都江東区東雲1-5-19 AIP25豊洲ビル4階
電話:03-5534-9141

また近隣の薬局は下記の通りです。
【アイセイハート薬局 東雲店】
東京都江東区東雲1-5-19 AIP25豊洲ビル4階
電話:03-5166-3660
【イオン薬局 東雲店】
東京都江東区東雲1-9-10
電話:03-3531-3620
【イオン薬局 第二東雲店】
東京都江東区東雲1-9-10 2階
電話:03-6857-0480
【しののめ薬局49】
東京都江東区東雲1-8-17 長谷川ビル
電話:03-5548-2588
【ひとは薬局】
東京都江東区東雲1-9-22-102
電話:03-5547-7227

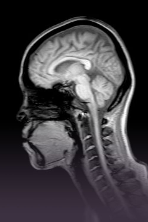
当日MRI検査可能、結果をお伝えします

診療内容Treatments

当院では以下の
診断書作成が可能です

  • 自立支援 診断書
  • 精神障害者保健福祉手帳用 診断書
  • 運転免許用 診断書
  • 指定難病 診断書
  • 障害年金 診断書
  • 小児慢性特定疾病 医療意見書
  • 自賠責 診断書
  • 労災関連書類

当院の取り組みinitiative

スガノ脳神経外科クリニックではSDGsに対する取り組みとして収益の一部を寄付させていただいております。
これまでにてんかん協会様、TSC SALON CHUBU(結節性硬化症サロン)様、スタージウェーバー家族の会様へ寄付させていただきました。
下記は院長より目録受け渡しの様子です。

2025年寄付

てんかん協会様
てんかん協会様
TSC SALON CHUBU様
TSC SALON CHUBU様
(結節性硬化症サロン)
スタージウェーバー家族の会様
スタージウェーバー
家族の会様

2024年寄付

認知症や頭痛などの脳疾患と未病のためのクリニック
てんかん協会様
TSC SALON CHUBU様
TSC SALON CHUBU様
(結節性硬化症サロン)
スタージウェーバー家族の会様
スタージウェーバー
家族の会様

当院の特長Our features

  • 認知症や頭痛などの脳疾患と未病のためのクリニック
    Features.01

    認知症や頭痛などの脳疾患と未病のためのクリニックです

  • 日本脳神経外科学会・専門医、指導医の院長による診療
    Features.02

    日本脳神経外科学会・専門医、指導医の院長による診療を行います

  • てんかんの治療に注力
    Features.03

    てんかんの治療に注力しています

  • 順天堂医院をはじめとする高度医療機関と連携して診療
    Features.04

    順天堂医院をはじめとする高度医療機関と連携して診療にあたります

  • 豊洲駅、東雲駅から徒歩圏内、駐車場も完備で通院しやすい環境
    Features.05

    豊洲駅、東雲駅から徒歩圏内、駐車場も完備で通院しやすい環境にあります